La Universidad del Valle consiguió su novena patente internacional, gracias a un sistema de fijación externa para tratamientos ortopédicos, elaborado por tres investigadores del Grupo de Biomecánica.
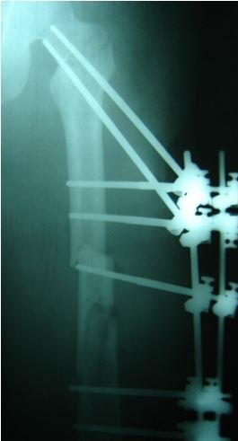
La patente concedida en Estados Unidos se denomina "Atlas" y consiste en un sistema de fijación externa para tratar fracturas de huesos, que agiliza los tiempos de sanación y reduce los costos de tratamientos ortopédicos, debido al sistema para fijar los huesos afectados en la posición adecuada.
El grupo de inventores lo conforman el profesor de la Escuela de Ingeniería Civil y Geomática José Jaime García Álvarez, el magíster en ingeniería mecánica Arlex Leyton Virgen y el médico traumatólogo Andrés Machado Caicedo.
El sistema de fijación permite activar todos los grados de libertad entre los elementos que conectan y es hecho con acero inoxidable y fibra de carbono lo que permite, al médico ortopedista, adaptar el tratamiento en menos tiempo y con más comodidad para el paciente, así sean posiciones complicadas.
Aunque el dispositivo está diseñado y validado para ser empleado esencialmente en pacientes con fracturas por trauma, podría utilizarse en tratamientos veterinarios, pues cuenta con pruebas biomecánicas de laboratorio y con pruebas clínicas, con resultados satisfactorios.
Entre las ventajas más significativas están su bajo costo, comparado con los demás dispositivos comerciales, así como la versatilidad para reducir fracturas o ajustar posiciones de los huesos para corregir defectos. También se destaca la estabilidad y rigidez para la formación de un buen callo óseo.
Como asegura el grupo que lo desarrolló, "la mayor movilidad de un fragmento respecto del otro se logra cuando se tiene la posibilidad de realizar seis grados de libertad que están compuestos por tres traslaciones y tres rotaciones”; y eso lo posibilita este dispositivo.
Con esta tecnología, la Universidad suma nueve patentes internacionales, de las cuales seis son concedidas en territorio estadounidense. A nivel nacional este centro de educación cuenta con 19 patentes concedidas en Colombia.
Tiene pocos elementos y permite total movilidad durante el armado
Radiografía de aplicación de ATLAS en paciente politraumatizado
Informes:
Oficina de Transferencia de Resultados de Investigación- OTRI
Esta dirección de correo electrónico está siendo protegida contra los robots de spam. Necesita tener JavaScript habilitado para poder verlo.
Campus Meléndez
Teléfono +57 2 3212100 ext. 2711
Universidad del Valle
Cali - Colombia












